в каком направлении двигаться в помощи собаке. Эпи-приступы
в каком направлении двигаться в помощи собаке. Эпи-приступы
Добрый день!
Начала читать форум и понимаю, что не могу сразу охватить всю информацию, а уже нужно что-то предпринимать.
Собака. Метис. Вес 16,8 кг. Возраст 10 лет.
Приступы начались предположительно 7 лет назад (собака до этого была бездомной, поэтому наверняка сложно сказать).
Я стала ее хозяйкой 6 месяцев назад. За это время статистика приступов такая:
1)приступ
2)на следующий день приступ
2)через месяц
3)на следующий день
4)через 21 день (3 приступа за 1 день)
5)через 37 дней
6)на следующий день 2 приступа с разницей в 1 час
7)через 27 дней (4 приступа с разницей в в 45-60 мин)
8) через 18 дней (3 приступа с разницей в час)
от начала приступа до момента, кога собака встает на лапки примерно 5 минут
Приступ такой: сначала сокращаются мышцы морды и корежит челюсть (примерно пол-минуты), потом лежа на боку собака как бы бежит, очень быстро перебирает всеми лапами (примерно пол-минуты), потом лежит, тяжело дышит, насколько я понимаю находится без сознания, но неестественно сильно моргает и голова немного вздрагивает (секунд 10), потом просто лежит и тяжело дышит (примерно 2,5 минуты). Потом она как бы вздрагивает, я понимаю, что это момент, когда она приходит в сознание. И тут же она пытается вскочить на лапы и куда-то идти. По на лапах стоит неустойчиво. Сразу заглядывает в миску, хочет есть. Как правило сразу пьет.
Во время приступа выделяется вязкая слюна. Происходит дефекация и мочится.
Лечение нам никакое ветврач не назначил, т.к. сказал, что сначала нужно проверить сердце, чтобы препаратами не навредить еще больше.
После приступа даю корвалол, но не вижу никакого от него результата (в последний раз было 3 и 4 приступа за один день. Сразу после 1-го приступа дала корвалол, но это не предотвратило и не снизило тяжесть последующих приступов). Нужно ли его в последующем давать? Чем он помогает?
Сердце обследовали, ветврач сказал, что отклонений нет.
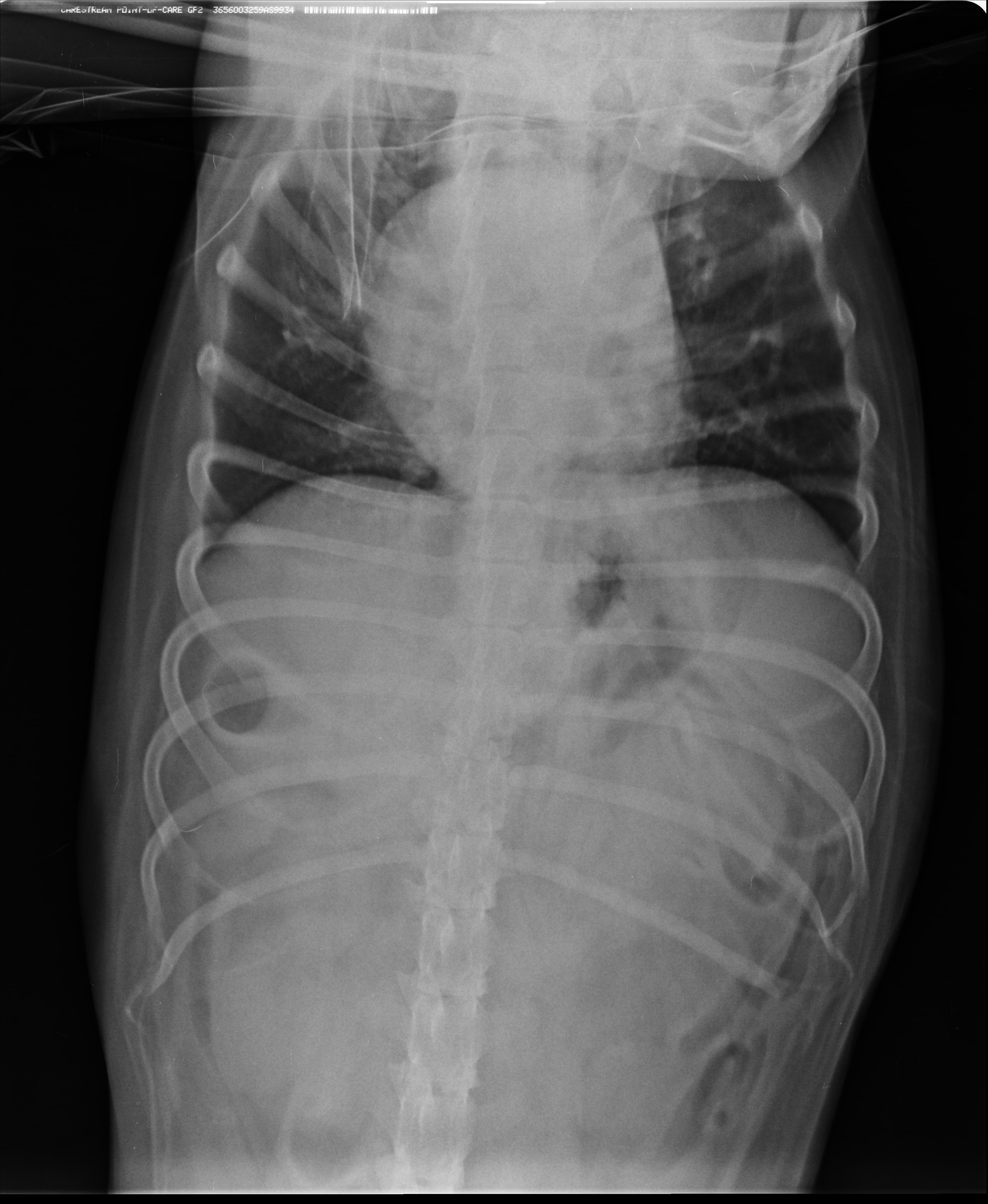
Собака в течение дня регулярно дышит часто (учащенное дыхание), иногда будит нас ночью вот с таким частым дыханием. Кладет на нас лапы, как бы с просьбой ей помочь. В поисках причины этого сделали рентген, оказалось , что у собаки сдавлены, уменьшены в размерах легкие.
История выявления приступов такая: собака была бездомной, ее отвезли на стерилизацию и в процессе операции выявилось, что у собаки диафрагмальная грыжа. Во время операции останавливалось дыхание (если я правильно поняла/если такое бывает), собаке делали искусственную вентиляцию легких. Видимо в результате травмы и операции органы брюшной полости подали вперед и "сдавили" легкие. Возможно, что-то некорректно пишу.
Т.е., видимо была травма, которая повлекла грыжу. Была операция. И имеем легкие меньшего размера, чем у здоровой собаки.
По лечению нам пока ничего не назначили, предложили, что было бы хорошо сделать МРТ. Это достаточно проблематично, т.к. его в нашем городе не делают и плюс собака очень тревожная, ее пугает всё от собак до шорохов, ехать 1-1,5 в другой город для неё очень тяжело и будет очень стрессовать.
1)Подскажите, пожалуйста, ваше мнение, в каком направлении нам двигаться по лечению, что делать?
2) На вашем форуме читаю, что после приступа хорошо бы давать корвалол. Мнение одного из врачей, к которому мы обращались, что корвалол вообще не стоит давать, т.е. он бесполезен и плюс легкий "накротик", вызывающий привыкание и потребность в нем.
3)Последнее время у нее в день 3 или 4 приступа. Можно ли что-то дать после первого приступа, что предотвратило бы последующие приступы в этот день?
4) по совету человеческого врача давала собаке гомеопатию: арника утром , игнация вечером. Не буду анализировать, связан ли прием препаратов с частотой приступов, но получилось, что принимая эти препараты, у собаки перерыв между приступами был 37 дней, для нас это хороший показатель. Но я тогда этого не поняла, т.к. впервые за 1 день было 3 приступа и гомеопатию давать перестала. После этого перерыв между приступами был 27 дней (4 приступа в день) и 18 дней (3 приступа в день). Т.е. субъективно какой-то синдром отмены... может и нет...
5) подскажите, чем в целом опасны приступы? сверхнагрузки для сердца или что-то еще/что-то другое?
Прилагаю заключение врача по УЗИ сердца ; рентген грудной клетки; биохимический анализ крови от июля 2018г.
Начала читать форум и понимаю, что не могу сразу охватить всю информацию, а уже нужно что-то предпринимать.
Собака. Метис. Вес 16,8 кг. Возраст 10 лет.
Приступы начались предположительно 7 лет назад (собака до этого была бездомной, поэтому наверняка сложно сказать).
Я стала ее хозяйкой 6 месяцев назад. За это время статистика приступов такая:
1)приступ
2)на следующий день приступ
2)через месяц
3)на следующий день
4)через 21 день (3 приступа за 1 день)
5)через 37 дней
6)на следующий день 2 приступа с разницей в 1 час
7)через 27 дней (4 приступа с разницей в в 45-60 мин)
8) через 18 дней (3 приступа с разницей в час)
от начала приступа до момента, кога собака встает на лапки примерно 5 минут
Приступ такой: сначала сокращаются мышцы морды и корежит челюсть (примерно пол-минуты), потом лежа на боку собака как бы бежит, очень быстро перебирает всеми лапами (примерно пол-минуты), потом лежит, тяжело дышит, насколько я понимаю находится без сознания, но неестественно сильно моргает и голова немного вздрагивает (секунд 10), потом просто лежит и тяжело дышит (примерно 2,5 минуты). Потом она как бы вздрагивает, я понимаю, что это момент, когда она приходит в сознание. И тут же она пытается вскочить на лапы и куда-то идти. По на лапах стоит неустойчиво. Сразу заглядывает в миску, хочет есть. Как правило сразу пьет.
Во время приступа выделяется вязкая слюна. Происходит дефекация и мочится.
Лечение нам никакое ветврач не назначил, т.к. сказал, что сначала нужно проверить сердце, чтобы препаратами не навредить еще больше.
После приступа даю корвалол, но не вижу никакого от него результата (в последний раз было 3 и 4 приступа за один день. Сразу после 1-го приступа дала корвалол, но это не предотвратило и не снизило тяжесть последующих приступов). Нужно ли его в последующем давать? Чем он помогает?
Сердце обследовали, ветврач сказал, что отклонений нет.
Собака в течение дня регулярно дышит часто (учащенное дыхание), иногда будит нас ночью вот с таким частым дыханием. Кладет на нас лапы, как бы с просьбой ей помочь. В поисках причины этого сделали рентген, оказалось , что у собаки сдавлены, уменьшены в размерах легкие.
История выявления приступов такая: собака была бездомной, ее отвезли на стерилизацию и в процессе операции выявилось, что у собаки диафрагмальная грыжа. Во время операции останавливалось дыхание (если я правильно поняла/если такое бывает), собаке делали искусственную вентиляцию легких. Видимо в результате травмы и операции органы брюшной полости подали вперед и "сдавили" легкие. Возможно, что-то некорректно пишу.
Т.е., видимо была травма, которая повлекла грыжу. Была операция. И имеем легкие меньшего размера, чем у здоровой собаки.
По лечению нам пока ничего не назначили, предложили, что было бы хорошо сделать МРТ. Это достаточно проблематично, т.к. его в нашем городе не делают и плюс собака очень тревожная, ее пугает всё от собак до шорохов, ехать 1-1,5 в другой город для неё очень тяжело и будет очень стрессовать.
1)Подскажите, пожалуйста, ваше мнение, в каком направлении нам двигаться по лечению, что делать?
2) На вашем форуме читаю, что после приступа хорошо бы давать корвалол. Мнение одного из врачей, к которому мы обращались, что корвалол вообще не стоит давать, т.е. он бесполезен и плюс легкий "накротик", вызывающий привыкание и потребность в нем.
3)Последнее время у нее в день 3 или 4 приступа. Можно ли что-то дать после первого приступа, что предотвратило бы последующие приступы в этот день?
4) по совету человеческого врача давала собаке гомеопатию: арника утром , игнация вечером. Не буду анализировать, связан ли прием препаратов с частотой приступов, но получилось, что принимая эти препараты, у собаки перерыв между приступами был 37 дней, для нас это хороший показатель. Но я тогда этого не поняла, т.к. впервые за 1 день было 3 приступа и гомеопатию давать перестала. После этого перерыв между приступами был 27 дней (4 приступа в день) и 18 дней (3 приступа в день). Т.е. субъективно какой-то синдром отмены... может и нет...
5) подскажите, чем в целом опасны приступы? сверхнагрузки для сердца или что-то еще/что-то другое?
Прилагаю заключение врача по УЗИ сердца ; рентген грудной клетки; биохимический анализ крови от июля 2018г.
- АНЖЕЛA
- Администратор конференции
- Сообщения: 16299
- Зарегистрирован: 20 ноя 2012, 04:00
- Откуда: Санкт-Петербург
- Благодарил (а): 26291 раз
- Поблагодарили: 23597 раз
- Контактная информация:
в каком направлении двигаться в помощи собаке. Эпи-приступы
ushka, добрый день!)
Очень жаль дворяночку, как ей не повезло.....
Смысла в МРТ не вижу в таком возрасте, оно ничего не изменит.
В каком Вы городе?
Хоть причина до конца и не ясна,а нельзя ведь исключить и травму головы в прошлом, но препараты надо давать Противосудорожные. На гомеопатии далеко не уедете....
Есть ли возможность достать Паглюферал?
Ещё. По анализам повышена амилаза, это говорит о патологии поджелудочной. Что в этом направлении врачи делают?
Как у собаки с пищеварением? Здесь нужна диета и лечение также.
Удачи Вам.
Очень жаль дворяночку, как ей не повезло.....
Смысла в МРТ не вижу в таком возрасте, оно ничего не изменит.
В каком Вы городе?
Хоть причина до конца и не ясна,а нельзя ведь исключить и травму головы в прошлом, но препараты надо давать Противосудорожные. На гомеопатии далеко не уедете....
Есть ли возможность достать Паглюферал?
Ещё. По анализам повышена амилаза, это говорит о патологии поджелудочной. Что в этом направлении врачи делают?
Как у собаки с пищеварением? Здесь нужна диета и лечение также.
Удачи Вам.
-
Mirror714
- Сообщения: 150
- Зарегистрирован: 10 сен 2017, 07:40
- Откуда: Ленинградская обл.
- Благодарил (а): 177 раз
- Поблагодарили: 350 раз
в каком направлении двигаться в помощи собаке. Эпи-приступы
Сразу начну с 5 пункта.Приступы опасны отеком мозга и каждый приступ может стать последним. Я, чтобы понять, что чувствует собака общалась с людьми страдающими эпилепсией.Особенно по поводу послеприступных психозов.У вас собака уходит в серии и перерыв сокращается уже надо давать противосудоржные препараты, да побочек много, но это меньшее из зол, главное купировать приступы.
Аптечка для собаки с эпилепсией.
Наш опыт при сериях.
Аптечка для собаки с эпилепсией.
Наш опыт при сериях.
Альгиз, метис белигийской овчарки,8 лет
Паглюферал 3 1 таб* 2раза в день
Шикша по ст.ложке 3 раза в день
Паглюферал 3 1 таб* 2раза в день
Шикша по ст.ложке 3 раза в день
-
nata197921
- Сообщения: 1603
- Зарегистрирован: 28 ноя 2016, 22:03
- Откуда: Москва, Наташа
- Благодарил (а): 11271 раз
- Поблагодарили: 4577 раз
в каком направлении двигаться в помощи собаке. Эпи-приступы
Это че у вас за врач, который ПС препаратами боится сердцу навредить.. Ну вообще то каждый приступ может стать последним из за того же сердца.. Мы своей собаки ПС препараты стали давать в12 лет и то нас врач практически заставила, так как для нас тогда каждый приступ мог быть последним.
Помним...
Васек (08.2000-07.04.2018)
Евунчик (18.09.2004-19.04.2018)
Васек (08.2000-07.04.2018)
Евунчик (18.09.2004-19.04.2018)
в каком направлении двигаться в помощи собаке. Эпи-приступы
по амилазе.Врач проговорил с нами, что исключить из питания, что есть можно. Мы пропили панкреатин.
Сейчас вроде бы планируем анализы крови. Посмотрим текущие показатели и врач прокомментирует, что делать дальше по поджелудочной.
Мы из Севастополя.
Про паглюферал буду уточнять. Врач сказал, что появился ветеринарный противосудорожный препарат. Возможно, назначит нам его и подскажет, где его заказывать.
"Хоть причина до конца и не ясна,а нельзя ведь исключить и травму головы в прошлом, но препараты надо давать Противосудорожные. На гомеопатии далеко не уедете....",- подскажите, значит ли это, что если первопричиной стала травма головы, то противосудорожные не показаны?
Подскажите, пожалуйста, при каких состояниях нужна срочная помощь и какую помощь я смогу оказать собаке самостоятельно ?
Надежды нет, что я быстро доберусь в клинику и тем более, что та или иная клиника правильно среагирует. Насколько я могу сделать выводы, у нас с эпи-приступами ветеринары работали не часто и больше теоретических знаний, чем практики.
И вопрос о корвалоле: он каким-то образом облегчает состояние после приступа? стоит его давать?
Сейчас вроде бы планируем анализы крови. Посмотрим текущие показатели и врач прокомментирует, что делать дальше по поджелудочной.
Мы из Севастополя.
Про паглюферал буду уточнять. Врач сказал, что появился ветеринарный противосудорожный препарат. Возможно, назначит нам его и подскажет, где его заказывать.
"Хоть причина до конца и не ясна,а нельзя ведь исключить и травму головы в прошлом, но препараты надо давать Противосудорожные. На гомеопатии далеко не уедете....",- подскажите, значит ли это, что если первопричиной стала травма головы, то противосудорожные не показаны?
Подскажите, пожалуйста, при каких состояниях нужна срочная помощь и какую помощь я смогу оказать собаке самостоятельно ?
Надежды нет, что я быстро доберусь в клинику и тем более, что та или иная клиника правильно среагирует. Насколько я могу сделать выводы, у нас с эпи-приступами ветеринары работали не часто и больше теоретических знаний, чем практики.
И вопрос о корвалоле: он каким-то образом облегчает состояние после приступа? стоит его давать?
- Найда
- Сообщения: 4123
- Зарегистрирован: 16 авг 2016, 12:15
- Откуда: г.Балашиха,М.О.Зинаида
- Благодарил (а): 20183 раза
- Поблагодарили: 9437 раз
в каком направлении двигаться в помощи собаке. Эпи-приступы
ushka,доброе утро!Напишите как Вас зовут,нигде не нашла.
То что Вы пропили панкреатин этого мало .У собаки скорее всего воспалена поджелудочная железа.Это надо омез или омепразол 10мг ,два раза в день,но Вам надо делить капсулу пополам или брать 5мг если есть,минимум две недели, лучше креон 5мг два раза в день-14дней,энторос гель по 1 ч.ложки с водой 1 раз в день 14 дней,до еды посмотрите по инструкции,лактусан 1-2 мл один раз в день 14 дней во время еды.Повторить такой курс 1 раз в два месяца.
Еще капельныцы
мексидол вет 5% ,гордокс раствор для в/в введения 1000КИЕ\мл, аскорбиновая кислота раствор ампула,гептрал 400мг инъекционный,квамател 20мг,раствор натрия хлорида 0,9%.
По дозировке капельницы посоветуйтесь со своим врачом.Это нам назначал врач ,у нас тоже поджелудочная
То что Вы пропили панкреатин этого мало .У собаки скорее всего воспалена поджелудочная железа.Это надо омез или омепразол 10мг ,два раза в день,но Вам надо делить капсулу пополам или брать 5мг если есть,минимум две недели, лучше креон 5мг два раза в день-14дней,энторос гель по 1 ч.ложки с водой 1 раз в день 14 дней,до еды посмотрите по инструкции,лактусан 1-2 мл один раз в день 14 дней во время еды.Повторить такой курс 1 раз в два месяца.
Еще капельныцы
мексидол вет 5% ,гордокс раствор для в/в введения 1000КИЕ\мл, аскорбиновая кислота раствор ампула,гептрал 400мг инъекционный,квамател 20мг,раствор натрия хлорида 0,9%.
По дозировке капельницы посоветуйтесь со своим врачом.Это нам назначал врач ,у нас тоже поджелудочная
принимаем :Бензонал по 1 таблетке 2раза в день,дозировкой 100мг,либромид по 1 т. два раза в день,леветирацетам по 500мг три раза в день, винпоцетин по 1т.-2р ,энап 5мг-1 таб.-2раза , по 1 таблетке на ночь пустырник.
Вес41-42 кг
Вес41-42 кг
- Найда
- Сообщения: 4123
- Зарегистрирован: 16 авг 2016, 12:15
- Откуда: г.Балашиха,М.О.Зинаида
- Благодарил (а): 20183 раза
- Поблагодарили: 9437 раз
в каком направлении двигаться в помощи собаке. Эпи-приступы
Да теперь дополню дальше по поводу корвалола,да корвалол дается для успокоения и для сердца,там есть фенобарбмтал,но в очень маленькой дозе .Вам надо 1каплю на кг веса в Вашем случае 15 капель разбавить пополам с водой,или пол таблетки корвалола,даже можно по 1 т три раза в день ,т.к Вы не даете никаких ПС.Но лучше начать давать паглюферал из расчета 4,4на кг ,т.е 4.4*16=70,4:2=35,это получается самая высокая доза.
Это получается если паглюферал 2 по 1 таблетке утром и вечером ,через 12 часов,или начните утром половинку ,на ночь целую,а дальше будете смотреть,Надо остановить приступы и Пс обязательно.
Отправлено спустя 2 минуты 31 секунду:
Почитайте тему Французский бульдог Max31,нашу тему.Пишите если что.,телефон если мой нужен напишите.
Это получается если паглюферал 2 по 1 таблетке утром и вечером ,через 12 часов,или начните утром половинку ,на ночь целую,а дальше будете смотреть,Надо остановить приступы и Пс обязательно.
Отправлено спустя 2 минуты 31 секунду:
Почитайте тему Французский бульдог Max31,нашу тему.Пишите если что.,телефон если мой нужен напишите.
Последний раз редактировалось Найда 11 дек 2019, 22:10, всего редактировалось 1 раз.
- Эльза
- Сообщения: 1598
- Зарегистрирован: 22 июн 2016, 01:08
- Откуда: Москва ЮАО, Елена
- Благодарил (а): 9091 раз
- Поблагодарили: 5120 раз
в каком направлении двигаться в помощи собаке. Эпи-приступы
если есть приступы, то надо пить противосудорожные. А у вас динамика к сокращению промежутков. Начинайте лечение. Гомеопатия никак не может быть основой лечения и купирования приступов.
Корвалол многие дают и в таблетках, и в каплях (разбавленный водой).
После приступа или серии дают еще дополнительную таблетку противосудорожного препарата. Можно уколоть магнезию. Можно дать спазган от мышечных болей. Некоторые делают клизму (в шприц без иголки набирают растертую в порошок кеппру с немного разведенной теплой водичкой).
Кеппра:
1. Используется, если 1 приступ или несколько, но с досточно большим интервалом -
схема - 30 мг/кг каждые 6 часов 2-3 дня.
2. Используется, если кластер (статус) или приступы очень частые - это клизма из кеппры (эпитерры) в дозировке 60-100 мг/кг разбавить в 3-4 мл тёплой воды. Начинает действовать минут через 15.
В кризисной ситуации лучше использовать настоящую кеппру, а не эпитерру.
После приступа нельзя давать животному есть, а особенно пить; после припадка собака пьет неумеренно, это может привести к повышению внутричерепного давления и спровоцировать повторение приступа. После эпилептического приступа можно дать собаке валокордин: он успокаивает сердце, хорошо «раскрывает» сосуды и препятствует рецидивам. Доза должна быть довольно большой — 7-8 капель на каждые 10 кг веса собаки.
Посмотрите вот здесь информацию:
Аптечка для собаки с эпилепсией.
Дозировки препаратов.
Омега-3 (1 капс.), кокосовое масло (0,5 чайн.л.), вет.капли Баха (утро+вечер по 0,5 пипет.)
Эльза, 6 лет (д.р. 17.02.14) Вес 36 кг
Эльза, 6 лет (д.р. 17.02.14) Вес 36 кг
в каком направлении двигаться в помощи собаке. Эпи-приступы
подскажите, пожалуйста, есть ли возможность дистанционно проконсультироватьяс с Хохловым Алексеем Валерьевичем? Есть ли его вайбер/вотсап/телефон?
- Эльза
- Сообщения: 1598
- Зарегистрирован: 22 июн 2016, 01:08
- Откуда: Москва ЮАО, Елена
- Благодарил (а): 9091 раз
- Поблагодарили: 5120 раз
в каком направлении двигаться в помощи собаке. Эпи-приступы
ushka, можно писать в вотсап:
8-916-180-11-94
Хохлов Алексей Валерьевич
8-916-180-11-94
Хохлов Алексей Валерьевич
Омега-3 (1 капс.), кокосовое масло (0,5 чайн.л.), вет.капли Баха (утро+вечер по 0,5 пипет.)
Эльза, 6 лет (д.р. 17.02.14) Вес 36 кг
Эльза, 6 лет (д.р. 17.02.14) Вес 36 кг
